loading

Gum Treatments

WHAT ARE THE TREATMENT OPTIONS FOR GUM DISEASE?

GUM TREATMENT

Gum Disease Treatments

Gum disease is one of the most common oral diseases. If you are someone who’s suffering from gum disease then you have come to the right place. Leaf Dental Care is synonymous with the best oral hygiene and we are the most loved dental clinic in the neighbourhood for all types of dental problems, including gum disease.

What is Gum Disease and what causes it?

Gum disease is caused by poor oral hygiene— irregular brushing of the teeth-using a worn-out toothbrush without a standard toothpaste to clean the germs & bacteria that accumulate in the mouth are some of the obvious reasons. Additionally, chewing tobacco, smoking cigarettes, hormonal changes during pregnancy can also affect the health of the gums.

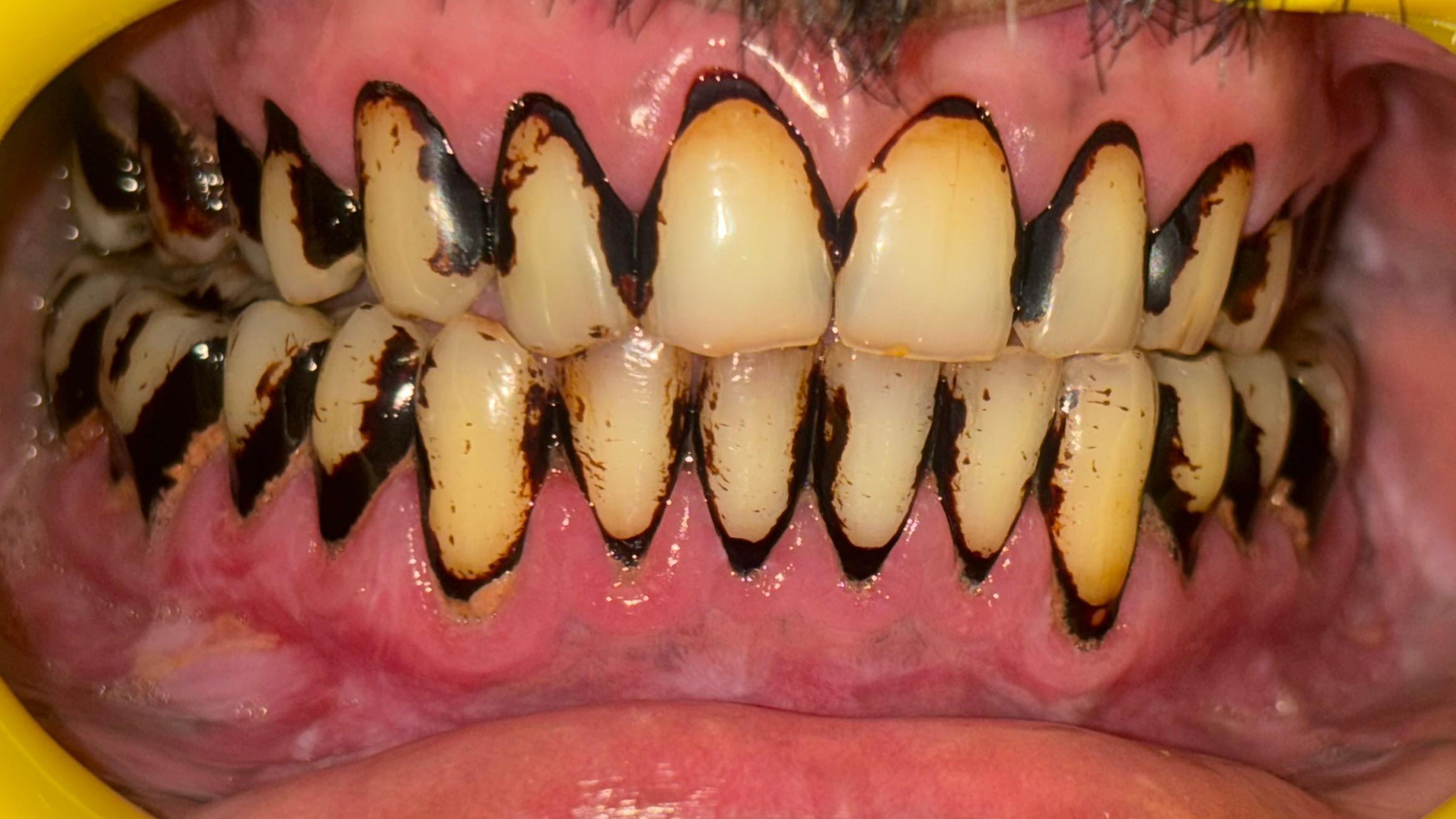
Signs and symptoms of gum disease

Some of the common symptoms of patients suffering from gum disease are

  • Inflammation in their gums
  • Bad breath
  • Bleeding
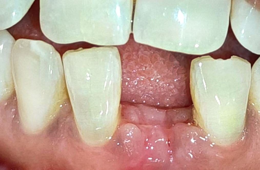
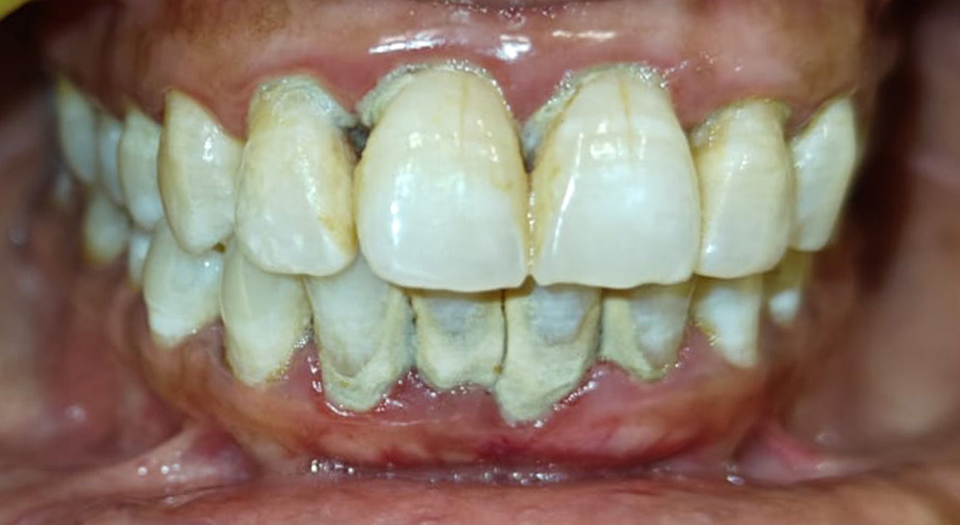
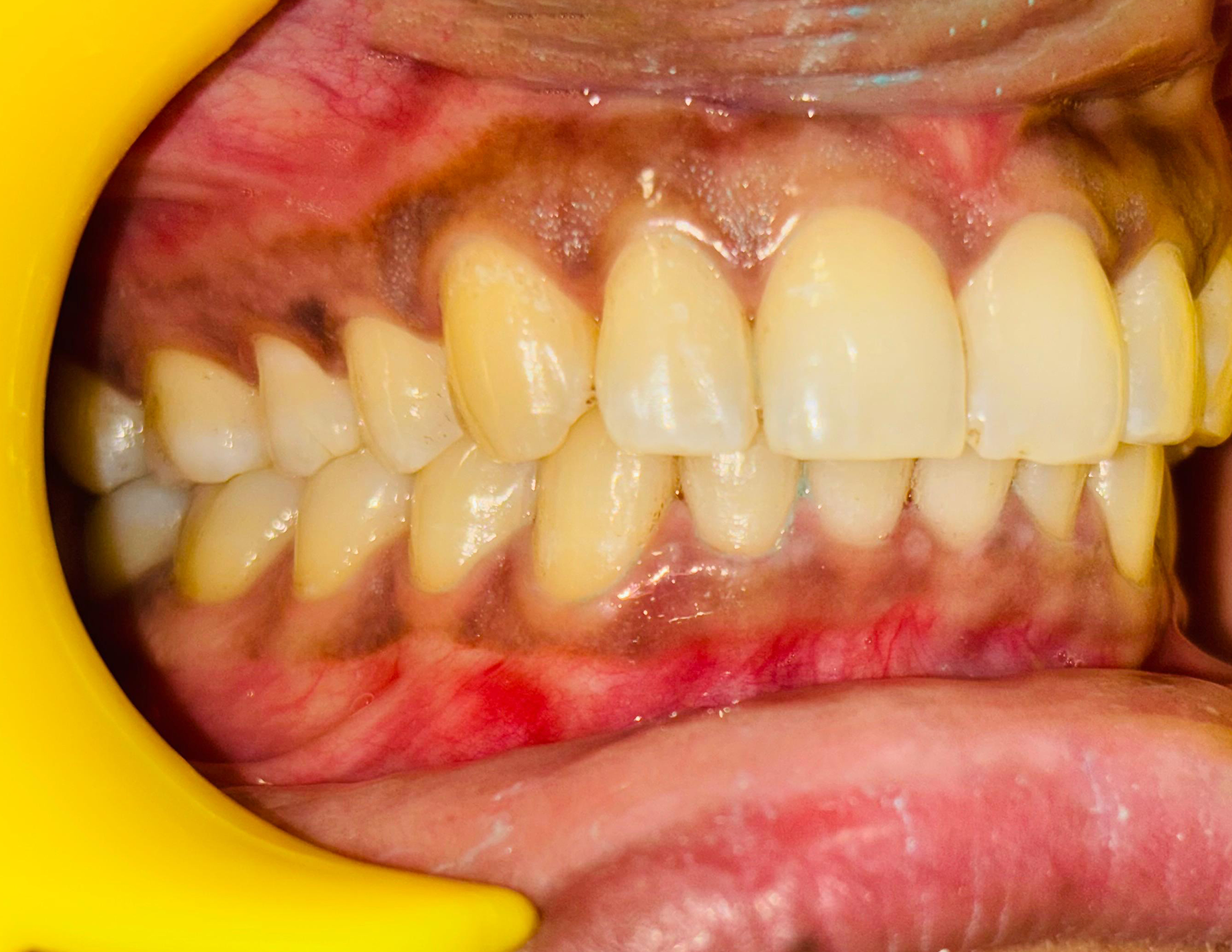
  • Red Swollen Gums
  • Recession of gum
  • Loose or Fallen Teeth
  • Depleted jaw bone

Types of Gum Diseases: Gingivitis & Periodontitis.

At a broader level, gum disease can be of two types: Gingivitis & Periodontitis. At its simplest, Gingivitis is the initial or the starting stage of the gum disease which affects the Gingivitis tissue (gum tissue) while Periodontitis is the blown up or advanced stage of gum disease which causes damage to the gum tissues and the jaw bone surrounding the gums and is usually characterized by the formation of periodontal pockets, loss of teeth, and depletion of the jaw bone under the gums.

Further, you will be surprised to know that there are many subtypes of Periodontitis. As pointed above periodontal gum disease is much more complicated to treat and the possible reasons for them are a) periodontal pocket formations in the gums b) increase in the depth of periodontal pockets c) depletion of jaw bone structure & more.

The American Academy of Periodontology has classified periodontitis based on how the disease is manifested.

  • Adult Periodontitis or Chronic Periodontitis
  • Aggressive Periodontitis
  • Acute Necrotizing Ulcerative Gingivitis
  • Pregnancy Gingivitis
  • Pericoronitis
  • Periodontal-endodontic Lessions
  • Desquamative Gingivitis

Gum disease Treatments:

The good news is gum disease in its infancy (Gingivitis) is easily reversible and can be cured by following simple non-invasive home hacks from the comfort of your home. And even if you are affected by advanced-level gum disease, there’s nothing to worry about, as there has been a lot of medical breakthrough in the world of Dentistry to treat such severe gum diseases.

Simple Home Hacks For Gum Disease Treatment

  • FLOSSING your teeth regularly
  • Periodic brushing of your teeth with a good toothbrush with good bristles
  • Regularly gargling with a mouthwash like Listerine to combat bad breath

If the bacterial gum infection persists even after following the above hacks then you need to consult an expert Periodontist for getting a proper diagnosis and treatment for your oral problem.If you are looking for professional help, we are just a phone call away!

Scaling & Root Cleaning

This is one of the most popular gum treatment methods used by dentists all over the world. Scaling & Root cleaning involves the use of special dentistry tools to clean the plaque & tartar bacterial film that’s accumulated on the teeth. This treatment of gum disease doesn’t require any surgical methods and is non-invasive, used for treating Gingivitis

Surgical Treatments for Gum Disease

Flap surgery/pocket reduction surgery. Pocket reduction procedure, also known as Flap surgery, is an invasive gum disease treatment that’s used for fixing the problem of loose teeth that comes with periodontitis. The technique here is to reduce the depth of the periodontal pockets in the gums so that the gum tissue sits snugly around the teeth and the teeth are held firmly in their places. During this procedure the gums are lifted back and the tartar is removed. In some cases, irregular surfaces of the damaged bone are smoothed to limit areas where disease-causing bacteria can hide. The gums are then placed so that the tissue fits snugly around the tooth. This method reduces the size of the space between the gum and tooth, thereby decreasing the areas where harmful bacteria can grow and decreasing the chance of serious health problems associated with periodontal disease.

Regenerative Procedures

At times Periodontist may have to use bone regenerative treatments to restore the bone growth underneath the gums. Depletion or reduction of bone size in the gums happens when a victim is suffering from advanced-level or fully blown periodontal disease such as Adult Periodontitis & Aggressive Periodontitis. This treatment involves placing either natural or synthetic bone in the affected area and it may be complemented with the use of stimulating proteins to ensure that the bone tissue regrows easily.

Bone grafts.

This procedure involves using fragments of your own bone, synthetic bone, or donated bone to replace bone destroyed by gum disease. The grafts serve as a platform for the regrowth of bone, which restores stability to teeth. New technology, called tissue engineering, encourages your own body to regenerate bone and tissue at an accelerated rate.

Guided tissue regeneration:

Performed when the bone supporting your teeth has been destroyed, this procedure stimulates bone and gum tissue growth. Done in combination with flap surgery, a small piece of mesh-like fabric is inserted between the bone and gum tissue. This keeps the gum tissue from growing into the area where the bone should be, allowing the bone and connective tissue to regrow to better support the teeth.

Bone surgery.

Smoothes shallow craters in the bone due to moderate and advanced bone loss. Following flap surgery, the bone around the tooth is reshaped to decrease the craters. This makes it harder for bacteria to collect and grow.

Laser Therapy for Gum Diseases

The use of laser technology for treating advanced gum diseases is on the rise. Some of the benefits of using laser for treating advanced-level periodontal diseases are it is not that invasive as other surgical methods and it works with better precision and is faster than traditional treatments.

What is laser dentistry?

Laser dentistry is the use of lasers to treat a number of different dental conditions. It became commercially used in clinical dental practice for procedures involving tooth tissue in 1989.

Laser dentistry potentially offers a more comfortable treatment option for a number of dental procedures involving hard or soft tissue compared to drills and other non-laser tools.

LASER stands for “light amplification by the stimulated emission of radiation.” The instrument creates light energy in a very narrow and focused beam. This laser light produces a reaction when it hits tissue, allowing it to remove or shape the tissue.

Laser dentistry is used in a variety of procedures, including:

  • treating hypersensitivity
  • treating pigmentation
  • treating gum disease
  • whitening teeth
  • Excessive gum display removal
  • Excision

Lasers can make dental treatments more efficient, cost effective, and comfortable.

How are laser treatments performed?

The two main types of procedures used for laser dentistry are hard tissue and soft tissue procedures. Hard tissue refers to the teeth, and soft tissue refers to the gums.

Common hard tissue procedures include:

Treating tooth sensitivity. Teeth that have sensitivity to hot and cold can be treated with dental lasers that seal tubules on the tooth’s root.

Common soft tissue procedures include:

Treating a “gummy smile.” Lasers are used to reshape gum tissue associated with “gummy smile,” in which the gums’ length covers much of the tooth.

Crown lengthening. This procedure reshapes both gum tissue and bone for healthier tooth structure, which helps with placing restorations on the teeth.

Treating tongue frenulum attachment.Those with a thick or tight frenulum (the fold of skin under the front part of tongue that anchors to the mouth floor) may benefit from a laser frenectomy. This treatment helps children whose restricted frenulum causes them to be tongue-tied, have difficulty breastfeeding, or have a speech impediment.

Removing soft tissue folds. Lasers can remove soft tissue folds from ill-fitting dentures without pain or sutures.

Other laser procedures include:

Removing benign tumors.Lasers can remove tumors from the palate, gums, and sides of the lips and cheeks through a pain- and suture-free method.

Treating obstructive sleep apnea.Lasers can reshape the throat and relieve associated breathing problems when sleep apnea is caused by tissue overgrowth in the throat.

TMJ (temporomandibular joint) treatment.Lasers can help reduce pain and inflammation in the joint.Nerve regeneration. Lasers can help regenerate damaged blood vessels, nerves, and scars.

Treating cold sores.Lasers can minimize healing time and reduce pain from cold sores.

Teeth whitening.Lasers speed up the bleaching process during teeth-whitening sessions.

    Benefits of using laser dentistry over other methods

  • There is potentially a decreased need for sutures with soft tissue lasers.
  • Bleeding is minimized in treated soft tissues, as the laser promotes blood clotting.
  • With some procedures, anesthesia is unnecessary.
  • The chance for bacterial infections is lower because the laser sterilizes the area.
  • Wounds can heal faster, and it’s possible for tissue to regenerate.
  • The procedures may involve less damage to the surrounding tissues.

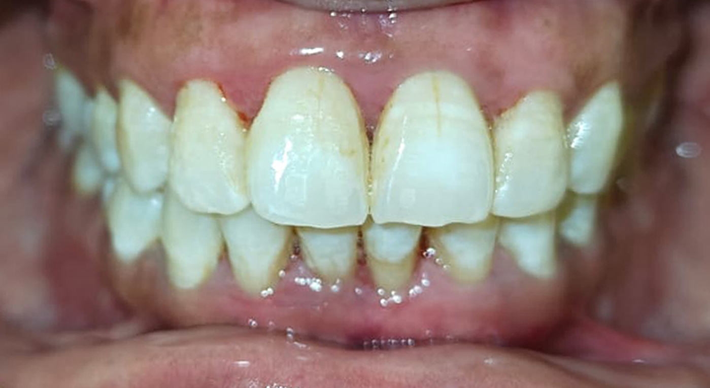
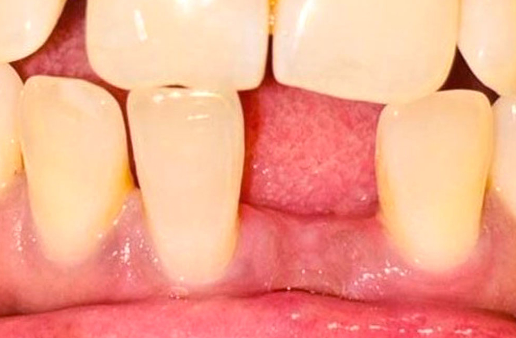
Treatment for Gum Recession

The following surgical procedures are used to treat gum recession:

Open flap scaling and root planing: During this procedure, periodontist folds back the affected gum tissue, removes the harmful bacteria from the pockets, and then snugly secures the gum tissue in place over the tooth root, thus eliminating the pockets or reducing their size.

Regeneration:If the bone supporting your teeth has been destroyed as a result of gum recession, a procedure to regenerate lost bone and tissue may be recommended. As in pocket depth reduction, periodontist will fold back the gum tissue and remove the bacteria. A regenerative material, such as a membrane, graft tissue, or tissue-stimulating protein, will then be applied to naturally regenerate bone and tissue in that area. After the regenerative material is put in place, the gum tissue is secured over the root of the tooth or teeth.

Soft tissue grafts.This procedure reinforces thin gums or fills in places where gums have receded. Grafted tissue, most often taken from the roof of the mouth, is stitched in place, adding tissue to the affected area.

Pericoronitis Treatment

Pericoronitis is quite common in young teenagers and it is usually shown when the wisdom teeth begin to grow and some kind of a flap like structure grows out of nowhere and traps the wisdom teeth.This causes an oral problem of food particles getting stuck inside the flap and this, in turn, leads to pericoronitis. If the pain and inflammation are severe, it may be necessary to have oral surgery to remove the gum flap or wisdom tooth. A low-level laser can be used to remove the tissue to reduce pain and inflammation associated with pericoronitis.

Periodontal Abscess Draining

The periodontal abscess is a common type of advanced gum disease and is identified by the formation of a red swollen lesion inside the gums, then the usual practice for dentists is to drain out the abscess and prescribe antibiotics for immediate relief from the pain. Treatment for a gum abscess involves draining the abscess and removing any debris in your periodontal pocket. A deep cleaning procedure called scaling and root planning removes plaque and tartar from above and beneath the gum line. Draining the abscess is necessary to remove the infection and prevent complications. This procedure may sometimes involves cutting an incision in the abscess and drainage is performed.

Gallery