Wisdom Teeth Removal

At Leaf Dental Hospital, K.P.H.B.6th phase, our experienced oral and maxillofacial surgeons use digital X-rays and advanced surgical techniques to remove wisdom teeth with precision and care. We ensure your comfort with effective anaesthesia and provide complete post-surgical care for a smooth, speedy recovery. If you’re experiencing pain, swelling, or discomfort, trust our team for stress-free and expert wisdom tooth removal in Hyderabad—helping you heal comfortably and confidently.

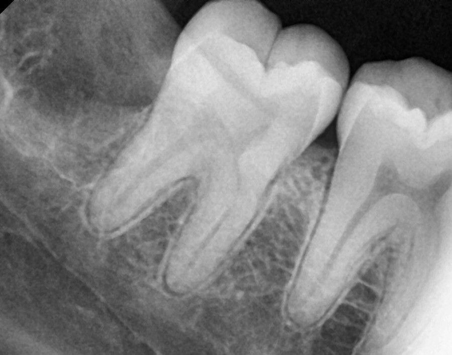
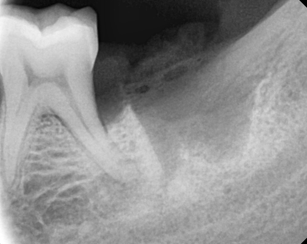
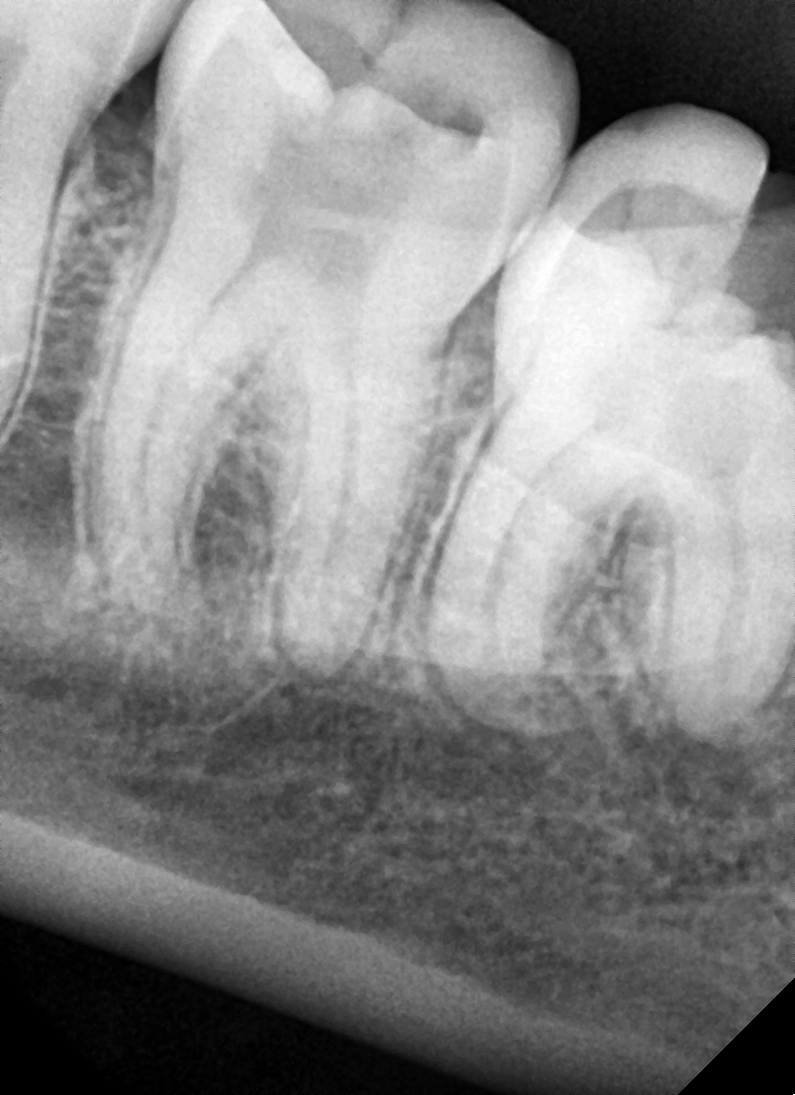
Disto Angular

After After
Before Before
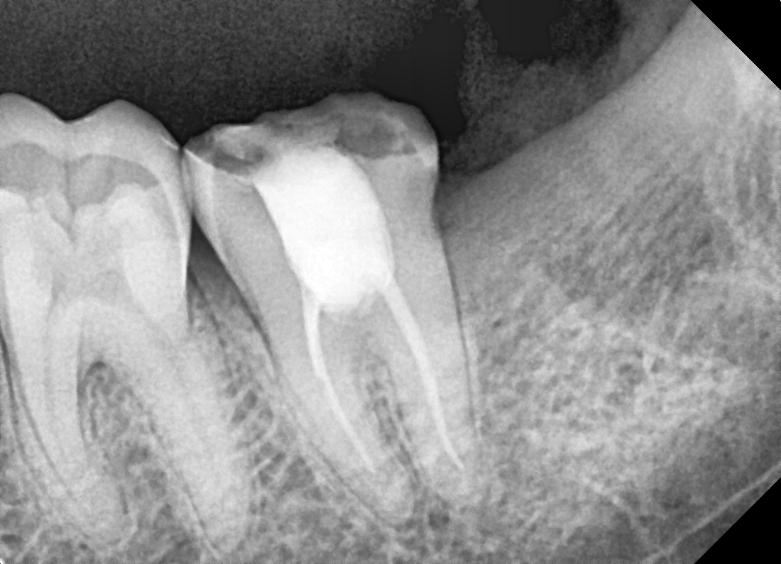
After After
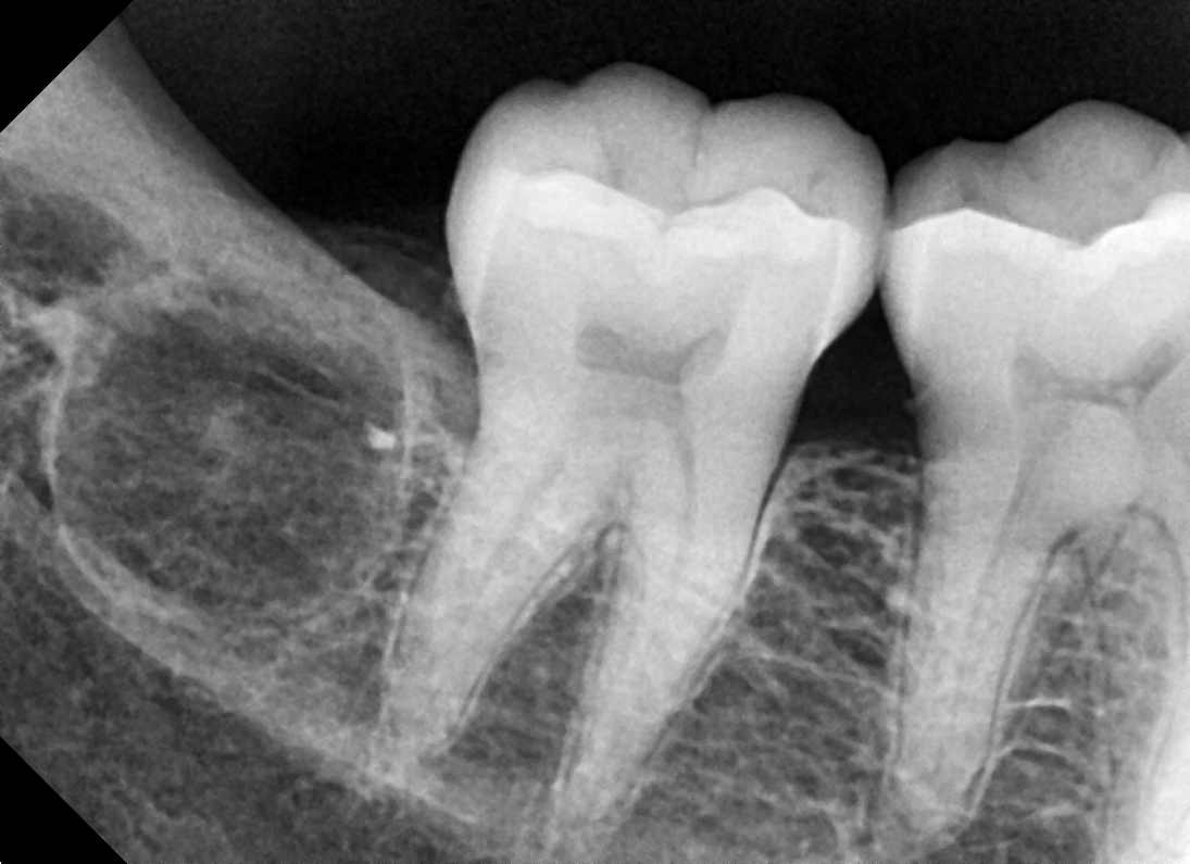
Before Before

Lower 3rd Molar

After After
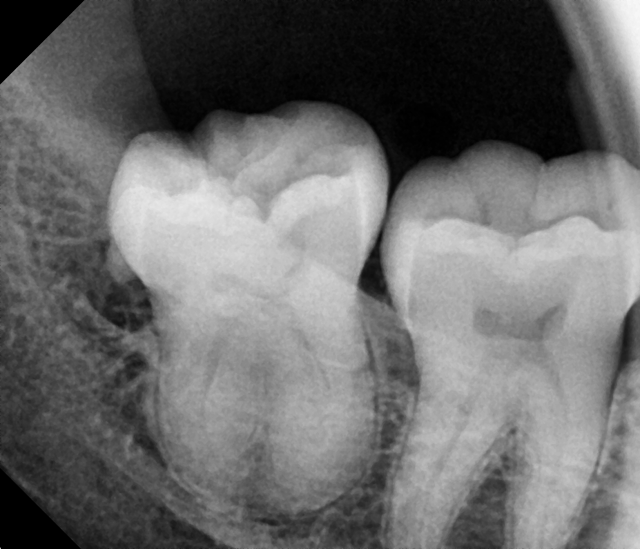
Before Before

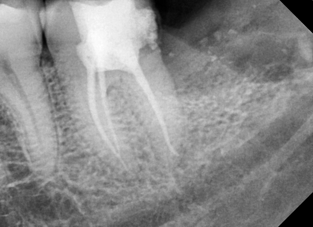
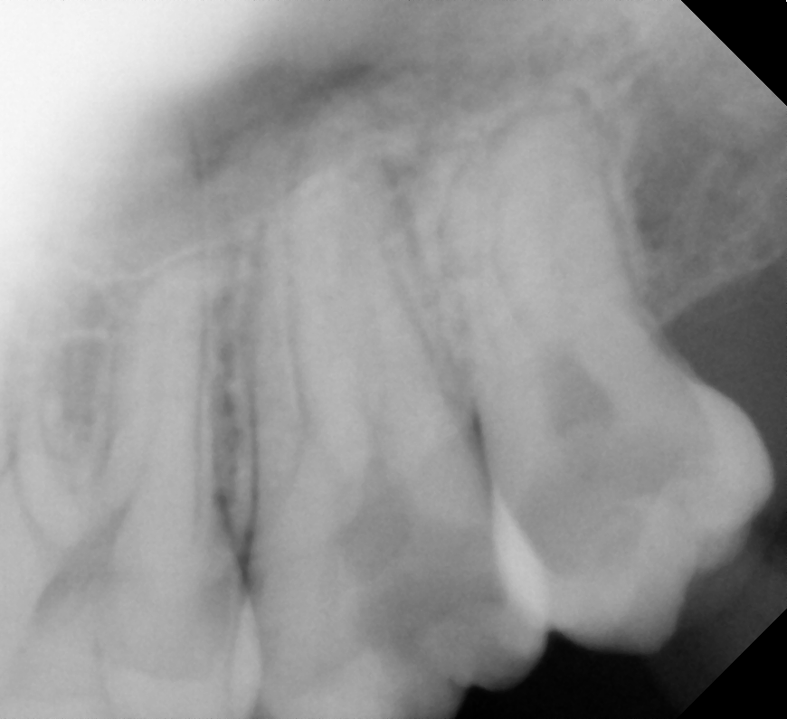
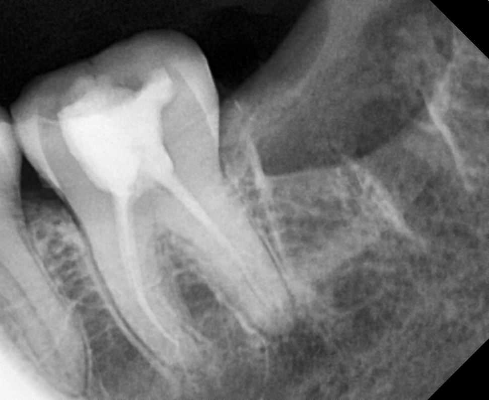
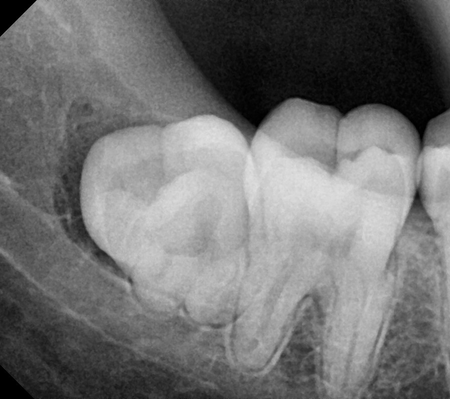
Mesioangular

After After
Before Before
After After
Before Before

Upper 3rd Molar

After After
Before Before

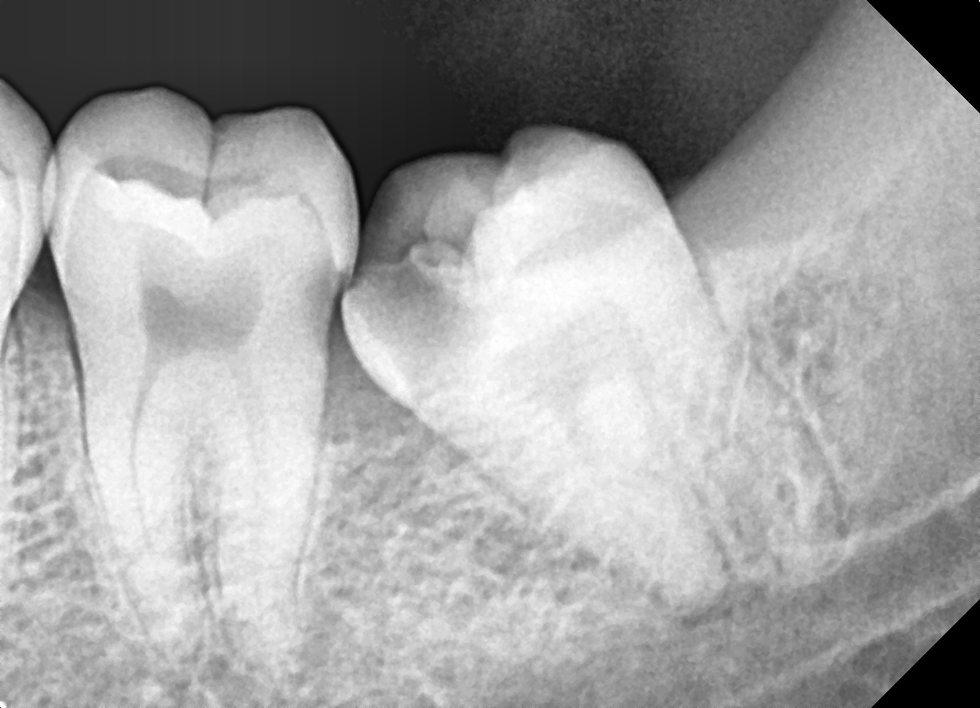
Vertical

After After
Before Before