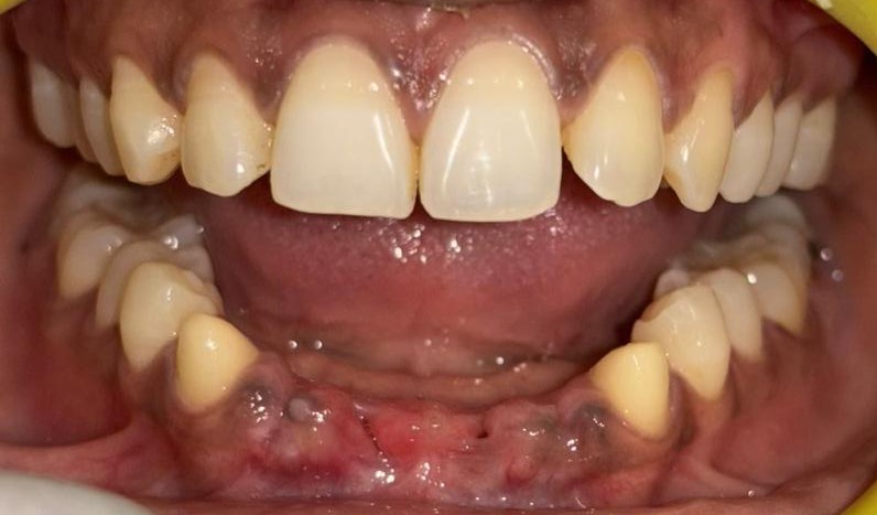
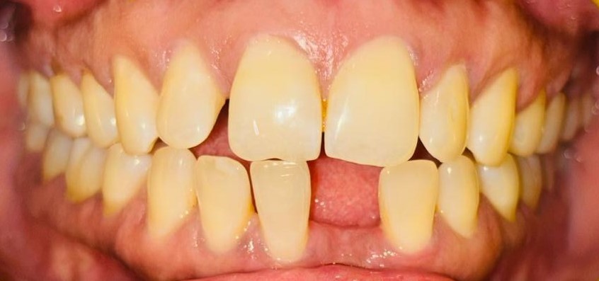
Dental Crowns and Bridges

At Leaf Dental Hospital, K.P.H.B. 6TH Phase, we craft zirconia and metal-ceramic crowns and bridges using advanced CAD/CAM technology for a perfect fit and long-lasting results. Our custom-designed bridges seamlessly restore your natural bite, function, and smile. Patients across the city trust us for durable and aesthetic dental crowns and bridges in Hyderabad—where strength meets elegance for a smile that lasts.

Crowns

Bridges

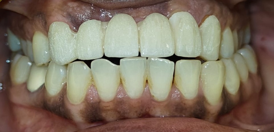
After After
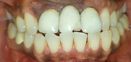
Before Before
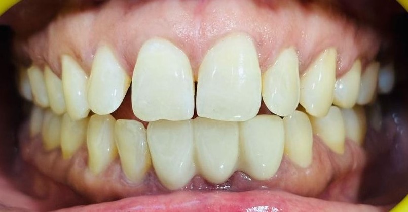
After After
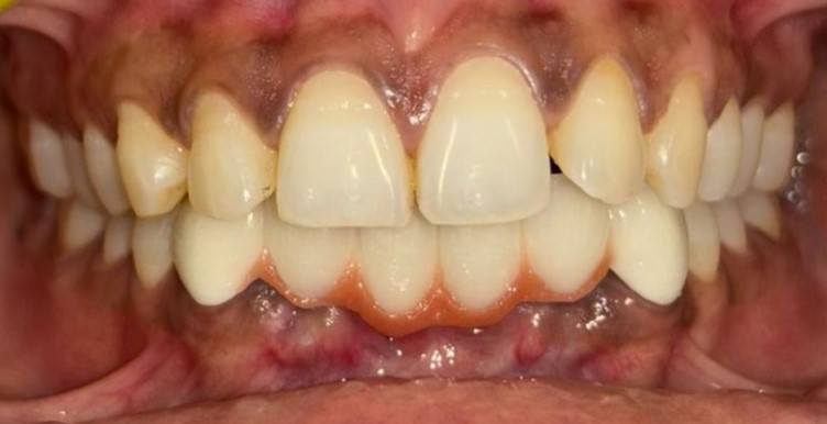
Before Before
After After
Before Before