Smile Makeover

At Leaf Dental Care, K.P.H.B.6th phase, we blend artistry and advanced dental technology to create a smile that complements your face and personality. Our smile makeover treatments include teeth whitening, full Zirconium crowns, orthodontic treatment and gum contouring, all tailored to enhance your natural smile. Recognized as one of the top dental clinics for smile makeovers in Hyderabad, we help you rediscover confidence and joy in every smile.

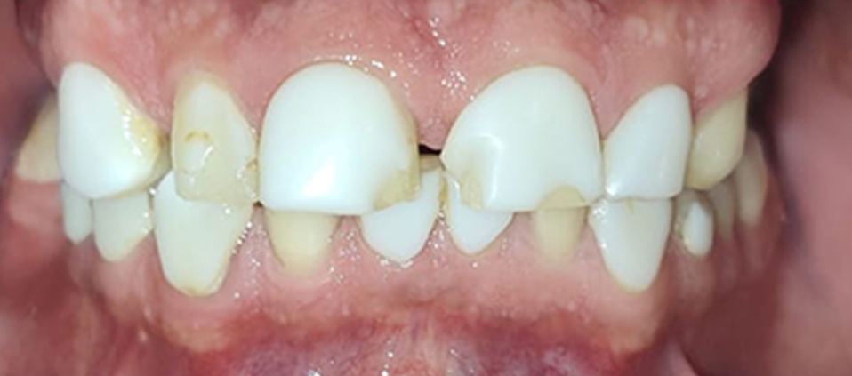
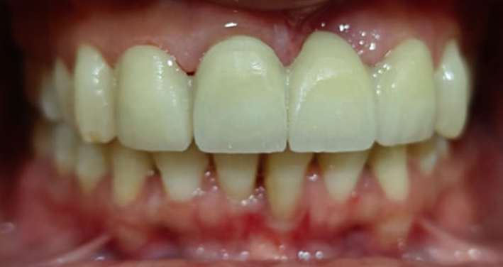
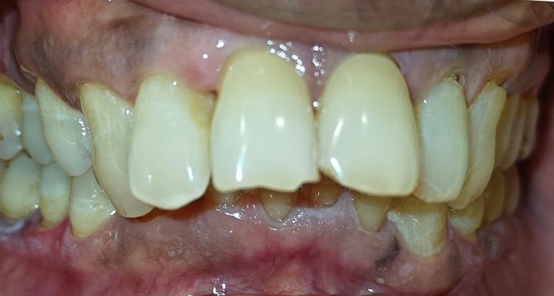
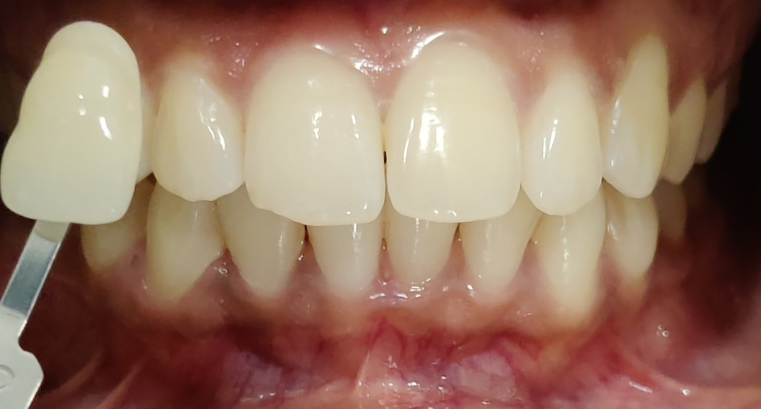
Replacement of old crowns

After After
Before Before
After After
Before Before

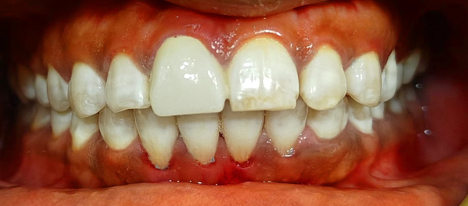
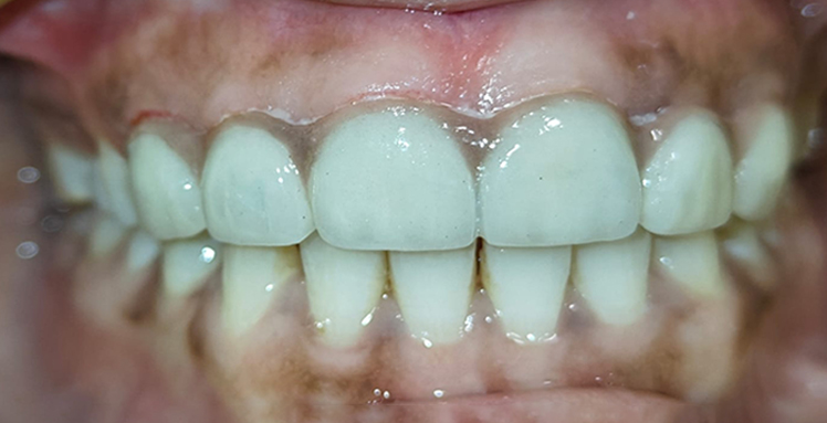
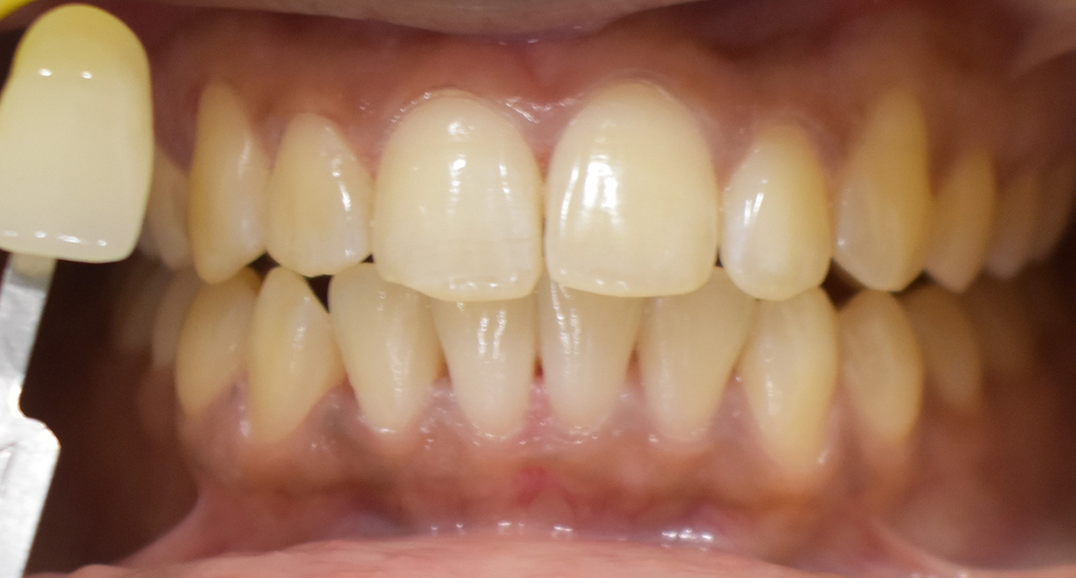
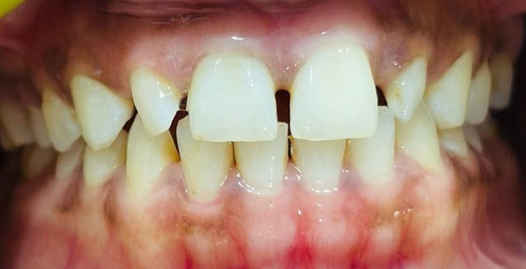
Spacing Correction

After After
Before Before

Crowding Correction

After After
Before Before

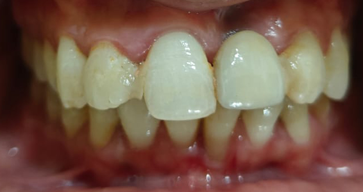
Teeth whitening

After After
Before Before
After After
Before Before