loading

Dental Filling

WHAT ARE THE TREATMENT OPTIONS FOR DECAYED TOOTH?

Dental Fillings

What Is Dental Filling?

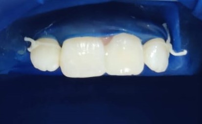
Dental Filling is a procedure wherein the damaged and decayed part of a tooth is removed and the area is filled with a material to protect against further damage and to restore the tooth appearance and function.

The Dentist will do the Dental Filling by first removing the decayed portion from the cavity of the tooth and then fill the area on the tooth with a suitable dental filling where the decay once existed.

Dental Fillings are used to restore cracked teeth, broken teeth, and worn-out teeth.

Types Of Dental Filling Materials in The Industry

Thanks to the medical advancements in the world of Dentistry that today you will find a diverse range of fillings made of different materials.

Here’s the list of popular Dental Fillings

Silver Amalgam Fillings:These are perhaps the most popular filling materials. They are silver colored and are an amalgam of other materials: Mercury, Zinc, Copper and Silver

Amalgam Fillings are perfect for filling large cavities of the back teeth and they can withstand high pressures from the stress of chewing.

Composite Fillings:These are made from resin material, and they are one of the most affordable types of Dental Fillings. Composite Fillings are a mixture of resin and filler material, and they can be matched to the tooth color.

Composite Fillings are perfect for filling small and mid-sized tooth cavities, commonly used for both front and back teeth. Most commonly used material.

Ceramic Fillings:Ceramic Fillings are attractive to look and gel well with the natural tooth color. Two of the greatest advantages of Ceramic Fillings are they offer the lowest toxicity and high durability. They act as good seals for your fillings, and they can strengthen your fractured teeth when used as Dental Fillings.Ceramic Fillings are cost-effective and are known to have a longer life span than any other metal amalgam fillings.

Gold Fillings:Gold Fillings offer high durability, and they last for long durations—almost 10 to 15 years. This is the perfect option for you if you don’t plan to replace your Dental Filling every now and then by visiting a Dentist.
People opt for Gold Fillings mainly because of the visual aesthetics gold color adds to the dental filling and the high durability it offers. Gold Fillings are quite expensive and are good alternatives to Silver Amalgam Fillings.

Gallery