loading

Root Canal

WHAT ARE THE TREATMENT OPTIONS FOR DECAYED TOOTH?

ROOT CANAL

What Is A Root canal treatment?

A Root Canal Treatment is a dental procedure that involves the use of dentistry tools and medication such as a drill, air abrasion instruments, microscopes and disinfectants to clean, restore and save a badly decayed tooth. Infection is mainly caused in the tooth pulp, nerve and the root canals and thus leads to pain.

During the Root Canal Treatment, the infected or diseased or injured nerve and the pulp are removed and then the infected tooth is cleaned, and finally the root canals are shaped before using an appropriate dental filling or a crown to seal the space.

Before going into the details about root canal treatments let us know about how the tooth gets affected

Tooth Structure

The tooth has an outer protective layer of hard enamel and right beneath it is the hard tissue known as Dentin and right below this is the soft tissue layer surrounded by canal- root canal called tooth pulp that runs from the crown till the roots of the tooth.

What is decay in teeth?

Cavity or tooth decay are caused by a combination of factors and mainly damage the hard surfaces of tooth structure.

Disease Causing Factors

  • Bad bacteria- acid producing bad bacteria
  • Absence of saliva- absence of healthy saliva function (dry mouth)
  • Dietary habits – frequent sugars and acids leads to de- mineralization and low pH allowing bad bacteria to thrive starting the decay process.

What causes dental cavities?

  • Sugary foods and drinks
  • Acid reflux
  • Dry mouth
  • Lack of enamel
  • Lack of fluoride
  • Lack of proper tooth brushing

What happens if the decay is not treated?

Severe pain and discomfort is going to be one of the problems of not treating the tooth. Without treatment the blood vessels and nerves inside the tooth become severely infected and that’s when pus and abscesses form. An abscess is swelling full of pus usually located at the end of the root canal because of the buildup of the infection. The abscess can be so serious that it causes swelling around the face, eye or the neck.

Stages of tooth decay

  • Decay in enamelpainless stage
  • Decay in dentin slight sensitivity is felt
  • Decay in pulp painful
  • Tooth abscessunbearable pain

Types of decay

  • Pit and fissure cavity:common among children and teens. These cavities appear in the deep grooves of back teeth.
  • Smooth surface cavity:this type of cavity appears on the side of the tooth. Flossing can help to prevent this type of decay.
  • Root cavity:these cavities appear on the tooth root (under the gums) and are common among older people with gum disease.

Treating a dental cavity

  • Filling :decay in enamel and dentin
  • Root canal treatment:decay in pulp and tooth abscess
  • Extraction :deep decay in pulp and severe tooth abscess

Signs and Symptoms of Root Canal

It’s good to know the symptoms of suffering from an impacted tooth that needs a Root Canal Treatment. You must visit an Endodontist to avoid any dental complications if you are experiencing any or all of the following symptoms:

  • High tooth sensitivity when drinking hot & cold beverages
  • Intense pain while chewing food
  • Broken teeth
  • Swollen gums
  • Blackening of the gums
  • Pimples on the gums

Advantages of Root Canal Treatment

While there are many advantages of undergoing a Root Canal Treatment, some of the obvious advantages are

  • It helps you overcome the pain and irritation caused as a result of an infection in the tooth pulp of the decayed tooth
  • It is a proven and time-tested permanent solution for saving and restoring your natural tooth
  • It helps you get rid of the gum inflammation and gum darkening caused due to an infection of the tooth pulp
  • It can help you have a natural smile by restoring the natural teeth
  • It is an affordable solution for saving and restoring the damaged teeth
  • It prevents the depletion of the jawbone

What Can I Do To Prevent Root Canal Treatment?

  • Brush 2 times and day and floss daily
  • Visit your dentist every 6 months for regular checkup and cleans. Regular maintenance avoids the major breakdown
  • If there’s tooth decay on a tooth that needs a filling. The longer you leave the tooth decay, the higher the chance the bacteria spreads and infects the nerve which leads to root canal treatment
  • Brushing your teeth regularly, flossing regularly and visiting your local dentist every 6 months for regular cleans is going to cost A LOT less than having a root canal

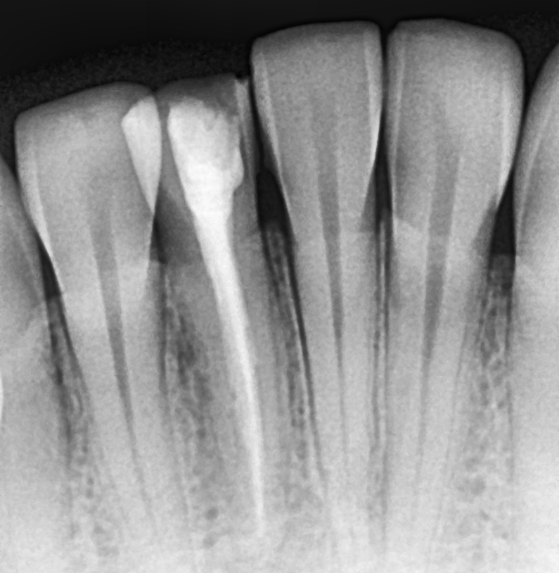
What happens during root canal treatment procedures?

There are 3 stages involved in performing and finishing root canal treatment on a tooth.

    Extirpation:Initial clean to control bacterial infection.

  • When the pulp of the tooth is infected, there is pain.
  • A diagnosis is made for the tooth with percussion, palpation and cold tests and an x-ray.
  • Once it is confirmed that the tooth requires root canal treatment.
  • After anesthesia given, a small opening on the top of the tooth to clean the root canal with small files
  • We rinse the tooth with antibacterial solutions to eliminate the bacteria
  • We leave medicine inside the tooth and place a temporary filling on top
  • Usually there may be a bit of residual soreness in the first 24 hours after Step 1: Extirpation, but the majority of the pain and swelling should have subsided after 24 hours.
  • Instrumentation: Thorough clean and medicine

  • Patient usually comes in 1-2 days after the Step 1: Extirpation. In some cases, Step 1 and 2 of Root Canal Treatment in the same appointment but we will inform you if this is possible or not.
  • Step 2: Cleaning the root canal so that we will eliminate all of the remaining bacteria and infection inside the root canals
  • Measurements of the length of the root canal is noted and take x-rays to confirm the length. Ensuring that the entire length of the root canal is cleaned.
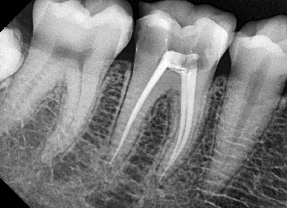
  • Obturation: Filling the root canal

  • Once the bacteria and infection are under control (no more signs and symptoms of soreness or discomfort from the tooth), the root filling can be done.
  • Irrigate the tooth with antibacterial solutions, dry the tooth, Gutta Percha (rubber points) should be placed into the root canals.
  • Once the Gutta Percha is placed, a temporary filling on the tooth or a permanent filling on the tooth can be placed.

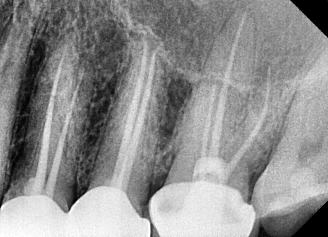
Is crown required?

Depending on the tooth, it is quite common to recommend placing a crown over the tooth within 3 months after root canal treatment, to provide maximum protection for the tooth in the long term.

The reason for this is because a tooth that has undergone nerve infection and pulp is removed thus tooth has become weak and brittle. A lot of biting forces fall on teeth when we eat and chew, so placing a crown on the tooth provides the tooth the necessary strength and durability.

Aftercare of Root Canal Treatment

The aftercare of your teeth is as important as the Root Canal Treatment itself. Any slight deviation from the safe practices advised by your dentist/endodontist may cause dental complications and you wouldn't want that to happen. Would you?

So, refrain from eating and chewing any solid food right after the root canal procedure. Improper food intake can trigger problems such as

  • Swelling of the jaw and cheeks
  • Tongue and gums getting numb
  • Leakage of the filling
  • Breakage of the crown

So, it’s good to follow the guidelines set by your doctor.

As a thumb rule soon after the root canal treatment, you aren’t supposed to eat anything solid for at least the first 30 minutes or 1 hour. And it generally takes 1 or 2 days for restoring normalcy and recovering fully from the treatment.

Restore And Save Your Infected Tooth

Do you want to restore and save your tooth that’s badly decayed rather than have it extracted? If your answer is YES, then you need to visit an expert Endodontist today to schedule an appointment for getting a Root Canal Treatment done for the affected tooth.

Tooth extraction and replacing it with an artificial tooth is the last thing you would want to do as it’s going to work out more expensive than Root Canal Treatment and it’s going to spoil the look of your natural smile.

It’s wise to save and restore your natural tooth. Always keep in mind that your natural set of teeth help you sport the best smile that everybody likes.

Pop into Leaf Dental Care today to get your teeth health assessed by our expert Endodontists for making an informed decision on whether a Root Canal Treatment is good for you or not.

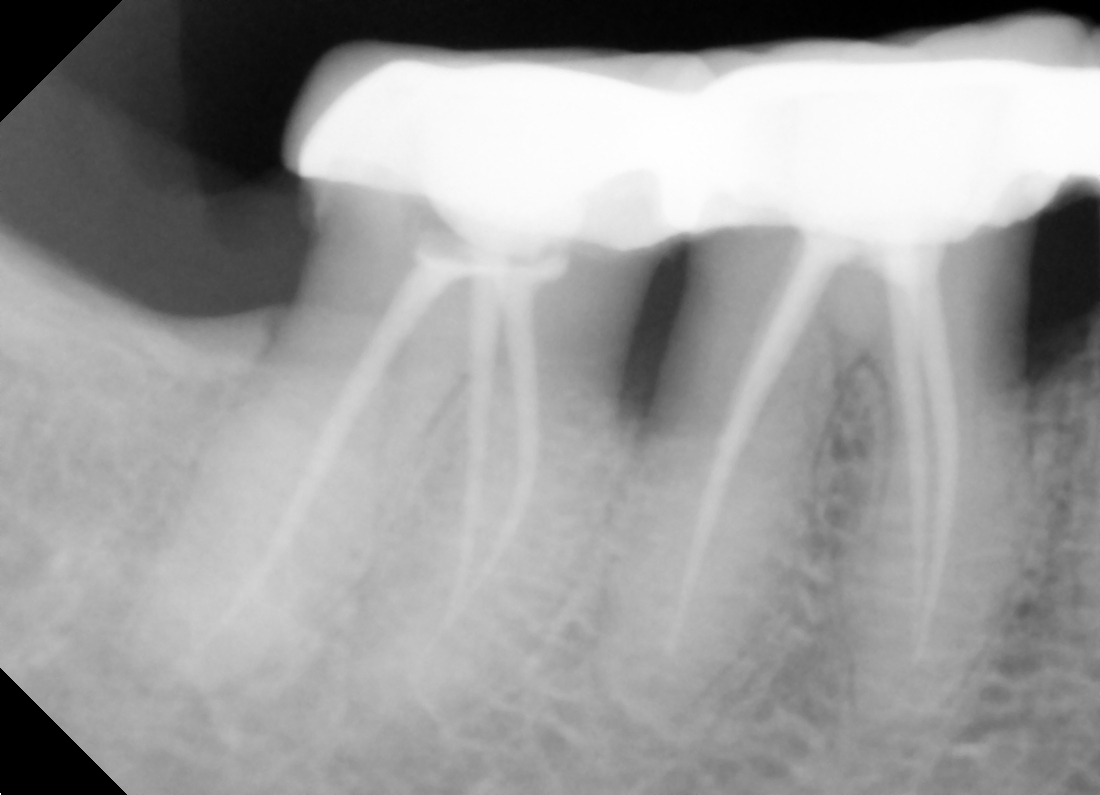
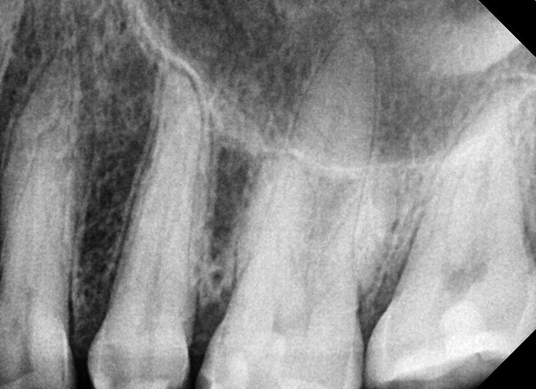
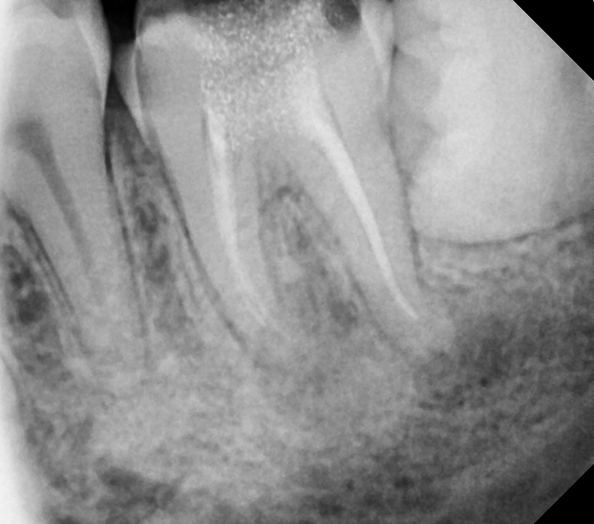
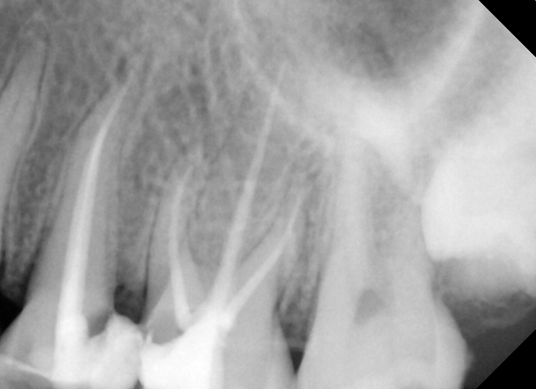
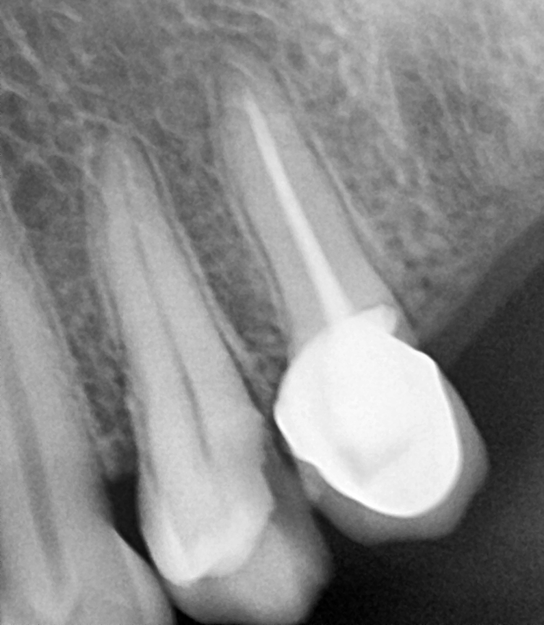
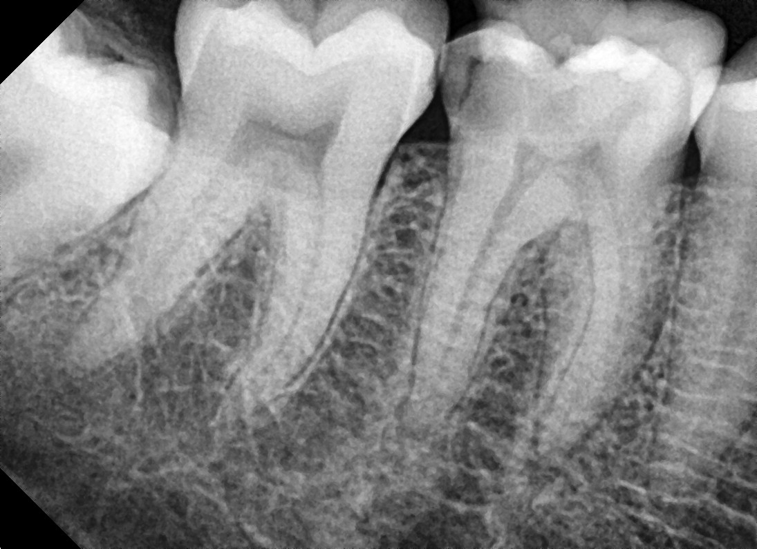
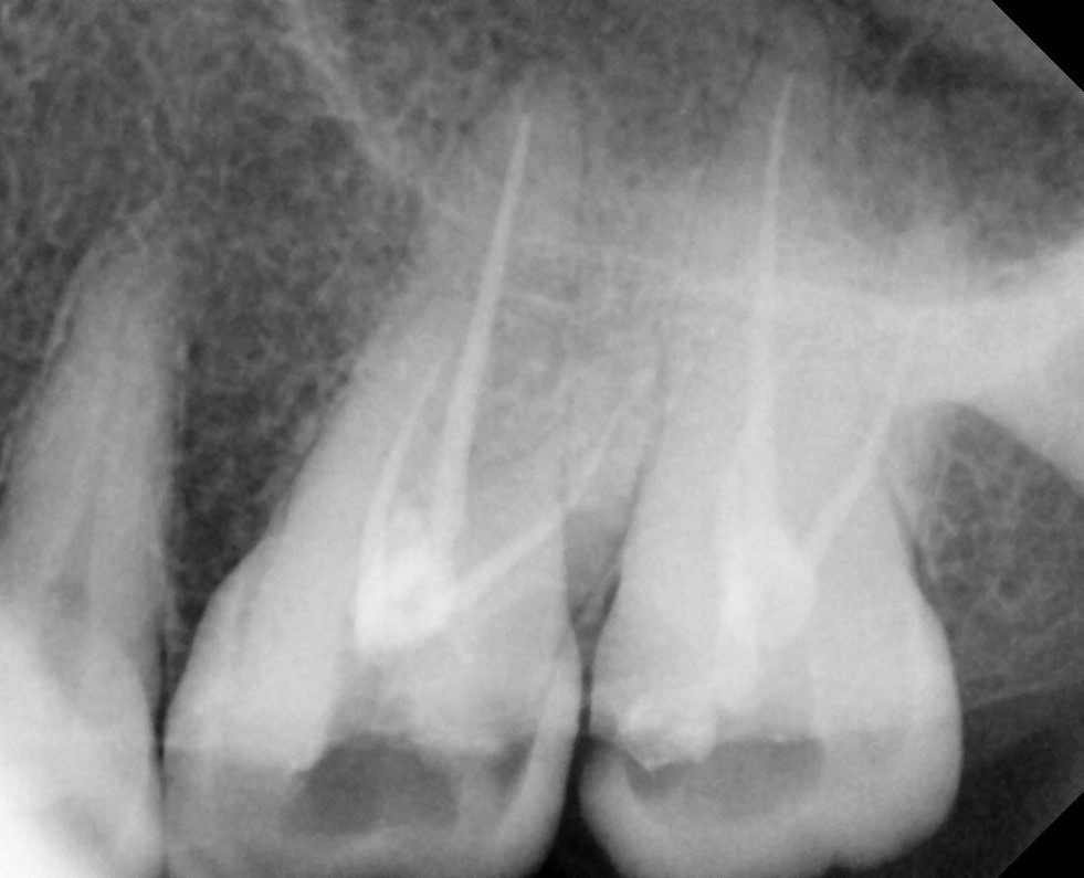
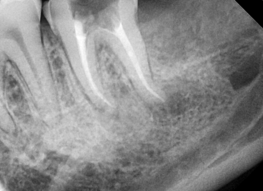
Gallery